Before and After

Acid Erosion

Acid erosion is a type of tooth wear defined as irreversible loss of tooth structure.

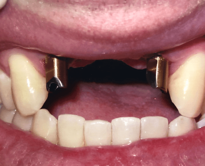
Adhesion Fixed Bridge

A fixed adhesion bridge is a fixed dental restoration bonded in to replace one or more missing teeth by joining an artificial tooth to adjacent teeth.

Dental Implants

Implants are a surgical component placed into the jaw bone to support a crown, bridge or denture.

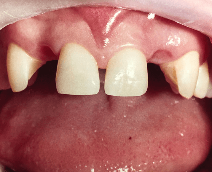
Direct Adhesion

Direct adhesion is a procedure in which tooth coloured resin material is used to repair decayed, cracked or discoloured teeth.

Direct Adhesion 2

Direct adhesion is a procedure in which tooth coloured resin material is used to repair decayed, cracked or discoloured teeth. In this case direct adhesion is used to restore buccal abrasions.

Direct Adhesion 3

Direct adhesion is a procedure in which tooth coloured resin material is used to repair decayed, cracked or discoloured teeth. In this case direct adhesion is used to replace amalgam fillings.

Direct Adhesion 4

Direct adhesion is a procedure in which tooth coloured resin material is used to repair decayed, cracked or discoloured teeth. In this case direct adhesion is used to close a midline gap.

Implant Crown

An implant crown is a cap which sits over the implant to cover it restoring it back to its natural shape and size.

Incisal Edge Recontour

Incisal Edge Recontouring is also a direct adhesion procedure to restore teeth affected by staining, defect or attrition.

Porcelain Fused to Metal Fixed Bridge

A bridge is a fixed dental restoration used to replace one or more missing teeth by joining an artificial tooth to adjacent teeth. In this case a porcelain fused to metal bridge is placed.

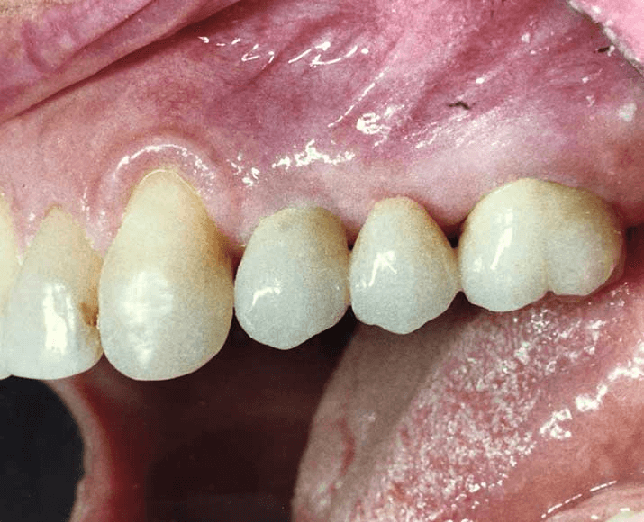
Porcelain Veneers

Porcelain veneers are a thin porcelain laminate bonded to the external face of a tooth to change colour and/or shape of teeth.

Smile Reconstruction

Smile reconstruction is the process of improving the appearance of the smile through one or more cosmetic dental procedures.

Veneer

Porcelain veneers are a thin porcelain laminate bonded to the external face of a tooth to change colour and/or shape of teeth.

Our experienced and caring team will be happy to walk you through your dental service and ease any anxiety you might have. We strive to make your visit at our Ottawa dental clinic a pleasant one, whether it’s your first visit or your 50th.

This field is for validation purposes and should be left unchanged.